망막전막 + 백내장 수술후 상크기 차이와 복시 증상을 맞춤 배율 프리즘 교정 누진다초점 안경으로 교정한 사례 (망막수술후 불편…
페이지 정보
작성자 한국비전케어안경원 댓글 0건 조회 337회 작성일 25-10-30 15:53본문
안녕하세요. 정밀 검안을 전문적으로 연구하고 임상 경험을 쌓아온 윤정호 검안학 박사입니다.
저는 한국에서 안경광학을 전공하고, 호주 UNSW 대학에서 검안학 석·박사 학위를 취득하며
국제적인 검안학 및 시각 과학 지식을 쌓았습니다.
현재는 다양한 임상 경험을 바탕으로, 일반 안경원에서는 다루기 어려운
사시, 사위, 복시, 수술 후 불편증상, 근시 억제 등
고난도의 시기능 문제를 교정하는 맞춤형 안경원을 운영하고 있습니다.
이번에는 50대 남성 고객분의 사례를 소개드리려고 합니다.
이 고객분은 우안(오른쪽 눈)에 망막전막 수술과 백내장 수술을 동시에 받은 뒤
많은 눈 불편을 호소하며 방문하셨습니다.
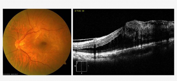
1. 망막전막증이란?
망막전막증 또는 망막상막이라고 불리는 이 질환은
망막 표면에 얇은 막이 형성되면서 망막을 잡아당겨 변형시키는 질환을 말합니다.
이 막은 망막에 주름을 만들어서 시각적 왜곡을 일으키고,
심한 경우 시력 저하로 이어질 수도 있습니다.주로 노화로 발생되는 경우가 많으며,
당뇨망막병증, 유리체출혈, 망막박리 등과 같은 눈 내부 질환 후에도 생겨날 수 있습니다.
![]()
망막전막증으로 전막이 망막을 당겨서 황반이 부워있는 사진 / 출처:서울플러스 안과
* 망막전막증 증상은?
대표적인 증상은 시야 왜곡입니다.
사물이 휘어 보이거나 컴퓨터, 핸드폰 등의 글자가 흐릿하게 보이는 증상이 나타납니다.
회사 업무에 지장을 주거나 운전하기가 힘들어지는 등의 일상 생활의 큰 불편함을 줍니다.
2. 40대 후반 남성 직장인 고객님의 망막전막 + 백내장 수술후 시각적 불편 증상 교정 사례
고객분은 방문하시기 3개월 전에 망막 전막 + 백내장 수술을 하시고 부작용 없이
시력이 회복되길 기대했지만 아래와 같은 시각적 불편 증상들이 나타났습니다.
글자나 직선이 휘어져 보임책이나 스마트폰을 읽을 때
글자 줄이 울렁거려 눈이 쉽게 피로해짐
두 눈의 상이 정확히 하나로 합쳐지지 않고 미세하게 어긋나 이중으로 보임
특히 밤에 불빛이 여러 개로 겹쳐 보여 운전이 힘들어짐
양안으로 보는 상의 크기가 차이 나게 보임
우안과 좌안의 영상 크기가 달라 어지럽고 거리감 차이가 나서 계단 내려갈 때 불편함
회사에서 업무 시 두통과 눈 피로가 동반됨
위와 같은 여러 가지 눈 불편 증상으로 힘들어서 안경으로 교정을 알아보고 방문하심
3. 정밀 검사 과정
저는 고객분의 불편 원인을 정확히 파악하기 위해 정밀 시력검사와 양안시기능 검사를 진행했습니다.
시력 검사 전에 예비검사로 수술 후 망막의 왜곡 부위를 확인하기 위해
암슬러 테스트를 진행해보니 수술한 우안에서 좌상 측 시야 부위의 왜곡 증상이 확인되었습니다.
기본적인 시력검사로 안경 도수를 측정했습니다.
우안 교정시력은 0.8, 좌안 교정시력은 1.0이 가능했습니다.
양안시검사를 해보니 두 눈의 융합력이 많이 약화되어 있었습니다.
수직사위가 많고 외사위도 있어서 복시 증상이 나타났습니다.
프리즘안경 처방 시 복시가 교정됨을 확인했습니다.
백내장 수술로 인해 양안의 시력 차이가 나서
부등상시를 유발하여 양안 상의 크기가 났습니다.
양안 상 크기 차이를 수치화하게 측정 후 배율렌즈로
교정시 효과를 확인 후 배율렌즈를 처방하였습니다.
근거리 검사를 해보니 노안으로 인해 조절 기능이
떨어져서 누진다초점 처방으로 노안을 교정했습니다.
그래서 최종 배율 프리즘 누진다초점 안경으로 최종 처방했습니다.
![]()
한국비전케어 안경원 만의 양안 상크기 차이 보정 배율 교정 처방으로 좌 우 안경렌즈의 설계가 다릅니다.
검사 결과, 환자분의 불편은 단순히 "시력이 떨어졌다"의 문제가 아니라,
망막전막+ 백내장 수술 후 발생한 광학적 변화와 망막의 변화로 인해
왜곡 증상과 미세한 복시, 양안 상 크기 차이(상배율)가
복합적으로 작용한 결과임을 확인했습니다.
4. 정밀 검사 결과
이 고객분에게 필요한 교정은 단순한 돋보기나 누진다초점 안경으로 해결되지 않았습니다.
저는 다음과 같은 맞춤형 접근을 설계했습니다.
1. 프리즘 교정
*미세한 눈의 어긋남을 보정하여 복시를 교정
*환자분이 두 눈을 동시에 더 안정적으로 사용할 수 있도록 조정
2. 상배율 교정
* 양안 영상 크기 차이를 맞추기 위해 배율 조절 렌즈 설계
* 환자분의 우안 영상 크기를 맞춰서 양안 융합이 원활해지도록 최적화
3. 누진다초점 렌즈 설계
* 근거리와 원거리를 모두 편안하게 볼 수 있도록 맞춤 누진다초점 처방
* 일반 누진렌즈와 달리 영상 왜곡을 최소화하는 특별 설계 적용
4. 안경 착용 데이터 정밀 계측 및 정밀 조제 가공
* 일반 안경원에서 소홀히 할 수 있는 PD(동공간 거리), 높이, 경사각 등을 정밀하게 측정
* 고객님이 안경을 착용했을 때 눈 위치와 배율 프리즘 누진다초점 안경렌즈의
설계 중심이 정확히 일치하도록 정밀 가공

5. 망막 수술 후 불편 증상 교정 후 변화
맞춤 제작된 프리즘 + 배율 교정 누진다초점 안경을 착용한 고객분은
착용하자마자 눈이 편해짐을 경험하셨습니다.
고객분은 "망막 전막 수술 이후 그동안 눈이 이렇게 편하게 본 적이 없었다"며 크게 만족하셨습니다.
5개월 뒤에 프리즘 배율 교정 누진다초점 안경을 하나 더 맞추러 재방문하셨습니다.
눈이 편하고 좋아서 너무 잘 사용중이라고 하셨으며
하나 뿐이 없으니 혹시 안경이 문제가 생길때가 걱정되어 다시 방문하게 되었다고 하셨습니다.


6. 망막 수술 후 불편 증상 교정 안경 전문가 관점에서 정리
망막전막과 백내장 수술 후 불편을 호소하는 고객분들은 의외로 많습니다.
망막전막과 백내장 수술 후 불편 증상은 수술 자체가 잘못된 것이 아니라,
눈이 새로운 광학 환경에 적응하지 못하면서 발생하는 경우가 많습니다.
그러나 대다수는 "적응해야 한다"는 말만 듣고 방치되는 경우가 많습니다.
이러한 증상들은 수술 후 흔히 나타날 수 있는 부작용이지만 방치되어
회사 업무와 일상생활에 많은 시각적 불편을 초래합니다.
특히 글을 읽거나 컴퓨터 작업이 많은 현대인의 삶에서는 삶의 질을 크게 떨어뜨립니다.
![]()
그러나 이러한 증상은 일반 안경으로는 교정이 어렵고, 정밀한 검안학적 접근이 필요합니다.
정밀 검안과 맞춤형 교정 안경을 통해 고객님의 시각적 삶의 질을 향상시킬 수 있습니다.
이번 사례처럼 프리즘 + 배율 조절 + 누진다초점은
단순히 시력 교정 안경이 아니라,
고객님의 시력과 시기능을 다시 회복시켜 주는 중요한 도구라 할 수 있습니다.
망막 수술 후 눈의 불편 증상을 방치하지 마시고
한국비전케어 안경원의 전문적인 정밀 검안을 통해 새로운 눈의 편안함을 경험하시길 바랍니다.
고객님의 눈이 편하실 때가 가장 행복한 한국비전케어 안경원입니다.
댓글목록
등록된 댓글이 없습니다.
